

我们叫六龄牙,是四胞胎兄弟
是六岁左右出生的第一颗恒牙
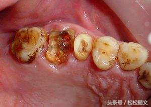
刚长出来的我们牙合面窝沟裂隙多
食物容易停留
主人请一定给我们穿上漂亮的保护外衣
(牙医称“窝沟封闭”)
我们不喜欢甜食,零食,打扰我们美好的生活
如果不好好保护我们
我们将会一步步走向毁灭


第一步:浅龋
当我们身上有小黑点时,您毫不在意地说:“没事的,没感觉。”
牙医说:“龋病是由以细菌为主的多因素导致的牙齿硬组织发生慢性进行性破坏的一种疾病。已经开始浅龋即牙釉质龋,需要做药物治疗或充填治疗。
(龋病损仅限于牙齿表层,发生于牙冠部者为釉质龋,如发生于牙颈部者,则为牙骨质龋。位于牙冠的浅龋又可分为窝沟龋和平滑面龋。浅龋是龋病的初级阶段,病变只限于牙齿的表浅层,一般无龋洞和自觉症状。)

第二步:中龋
当您吃糖时,感觉酸疼,您说:“没关系,不是很疼。”
牙医却说:“这时病变已经破坏到牙本质浅层了,牙齿已经有龋洞形成,对酸甜食物敏感,需要做充填治疗。”
(当龋病进展到牙本质时,由于牙本质中所含无机物较釉质少.而有机物较多,在结构上又有很多小管,有利于细菌入侵,因此龋进展很快,容易形成龋洞。)

第三步:深龋
当您进食时,没法咬食物,您说:“还好,可以用另外一边牙齿咬。”
牙医告诫说:“病变已经破坏到了牙本质深层,牙齿有较深的龋洞,温度刺激,化学刺激以及食物进入龋洞时均引起疼痛,此时,及时做充填治疗的话还来得及保住牙髓。”
(深龋的龋蚀已达到牙本质深层,接近牙髓,或已影响牙髓。患者对冷、热、酸、甜都有痛感,特别对热敏感。这时多数需要作牙髓治疗以保存牙齿。)

第四步:急性牙髓炎
当您昨晚一夜未眠,牙齿疼得撞墙时,您强忍着说:“吃一颗止痛药吧,再忍忍。”
牙医劝您说:“当病变侵入牙髓组织,产生炎性渗出液,因而形成髓腔高压,引起剧烈疼痛。此时,开髓引流是缓解急性牙髓炎疼痛最有效的方法。”
(急性牙髓炎其感染源主要来自深龋,牙髓的感染也可通过根尖孔引起根尖的逆行感染,临床主要特征是剧烈疼痛,一般止痛药物效果不明显,疼痛不能定位,后期可发展为牙髓坏疽,治疗主要为牙齿根管治疗。)

第五步:急性根尖周炎
当您脸肿得睁不开眼睛时,您撑着眼睛说:“没什么大不了的,吃吃消炎药就好了。”
牙医却着急地说:“牙齿急性根尖周炎感染可能引起间隙感染,严重的会危及生命。此时,需要到正规口腔医院治疗患牙,配合药物治疗,必要时做脓肿切开引流术。”
(急性根尖周炎是从根尖周牙周膜由浆液性炎症反应到根尖周组织的化脓性炎症的一系列反应过程可发展为牙槽骨的局限性骨髓炎,严重时还将发生为颌骨骨髓炎。)

第六步:残冠残根
当您发现牙齿一块块脱落,只剩下少量牙冠时,您略感惋惜地说:“就这样吧!估计没办法救了。”
牙医却语重心长地说:“就目前医疗技术而言,做根管治疗后桩冠修复可以很好地保存残冠残根。”无痛根管治疗能达到最好的效果。
(一旦形成了残冠、残根,牙齿的髓腔、根管就暴露于口腔的有菌环境之中,细菌可以通过根管而到达根尖,形成根尖周围炎,使牙齿成为病灶牙,进一步还可以引起全身的其它疾病。)

第七步:拔除
当牙医告诉您牙齿必须拔除时,您嚎啕大哭,“牙没了,我可怎么办啊?”
这时,牙医安慰您说:“别怕!三个月后就可以镶牙了。”
目前三种镶牙方式:种植牙、活动义齿、烤瓷桥,可以满足您的不同需求。