黄斑是位于视网膜(眼底)中心的一个重要正常结构。它负责提供眼睛最有用的中央视力。许多日常活动如阅读,驾驶和识别面部均需要中央视力。黄斑裂孔是指在视网膜中心的黄斑点出现裂孔,患者起初会出现中央视力扭曲或模糊,及后中央视力会变黑,使阅读、认人等都出现困难,严重影响日常生活。黄斑裂孔有大约八成是因退化而引起;另外,深近视和创伤亦有机会引致黄斑裂孔。50岁以上,曾患黄斑水肿和深近视人士(超过600度)均是黄斑裂孔的高危人士。

黄斑是位于视网膜(眼底)中心的一个正常结构

模拟患有黄斑裂孔的视力

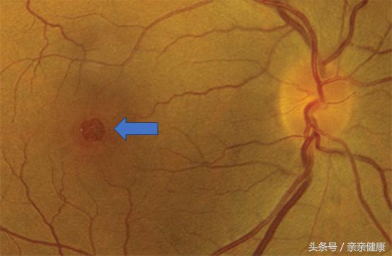
眼底照片可清楚看见黄斑裂孔(黄斑洞)

眼底光学断层扫描(OCT)能显示黄斑裂孔的横截面
黄斑裂孔现时只能用手术治疗。传统手术是将仪器放进眼球内,将玻璃体及内界膜移除,以消除扩大黄斑裂孔的拉力。完成清除后,医生会在眼球内注射气体,像胶布一样以帮助黄斑裂孔愈合。传统手术的康复期约为三至六个月,成功率接近九成,而且复发率低于百分之十。发现患上黄斑裂孔少于六个月、 裂孔少于400微米以及近视度数较浅人士也适合做这种手术。
随着科技发展,近年研发了新手术帮助不适合传统方法的病人。新手术与传统类似,医生会用微创技术将玻璃体及部分内界膜移除,然后将剩余的内界膜折迭并放在裂孔上,再在眼球内注射气体,以帮助黄斑裂孔愈合。这种新手术的原理是以内界膜将作为平台让细胞自然生长,修复裂孔。手术成功率高于九成,并且适用于患上黄斑裂孔超过六个月,裂孔大于400微米以及深近视的患者。

内界膜折迭黄斑手术

手术后黄斑裂孔经已愈合
近年在香港,有一位眼科医生进一步改良了这项技术,并应用于治疗黄斑裂孔导致的视网膜脱落疾病。研究显示这项改良技术可以达到100%的视网膜再附着率,成功以单一手术治疗这类复杂的视网膜脱落。此技术已于2016年在”香港眼科学刊” (Hong Kong Journal of Ophthalmology) 上发布,期后有其他国家的眼科团队亦在国际权威眼科学刊“视网膜”(Retina)上发布类似的医学文章。

治疗黄斑裂孔导致的视网膜脱落的改良手术已于2016年在香港眼科学刊上发布

奇特国家的眼科期后亦在国际权威眼科学刊“视网膜”(Retina)上发布类似的医学文章
退化所引起的黄斑裂孔是无法预防的,医生一般都会建议大众在做撞击性运动时戴护眼罩保护眼睛,以预防因创伤所引起的黄斑裂孔。此外,高危人士亦应留意视力变化,若出现中央视力扭曲或模糊的z症状就应找眼科专科医生作进一步检查。

本文作者
