点击「神经介入在线」可快速关注
急诊脑大动脉闭塞取栓病例
Case 1 基底动脉取栓 (2013年)
》35岁,女性;
》剖宫产后4天,右侧肢体活动不灵,言语不清13小时入我科。入科后3小时病情逐渐加重。
》术前查体:吸气困难,可见三凹征,指脉氧97%,心率60次/分,血压120/70mmHg. 意识清醒,不能言语,理解力正常,双侧瞳孔正常,眼球运动正常,双侧闭眼不紧,不能张口,流涎,不能伸舌,四肢肌力0级,双上肢肌张力低,双下肢肌张力高,双侧巴氏征阳性。
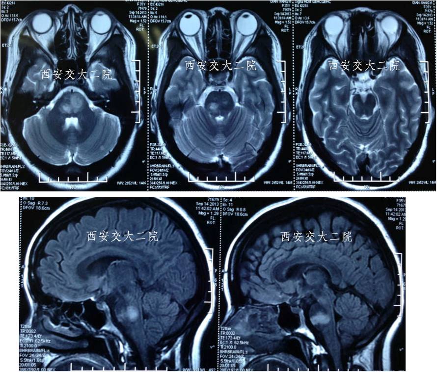
脑MR提示脑干大面积梗死

术前DSA




术后DSA

术后半小时病情
术后即刻呼吸正常,10分钟可张口、可吞咽,可点头、摇头,言语含糊;
左侧肢体肌力3级以上,右侧肢体肌力0级。
术后17小时
可饮水,言语含糊,左侧周围性面瘫,左侧肢体肌力4级,右上肢肌力1+级,下肢0级。

术后10天病情(出院时)
言语含糊,吞咽正常;
左侧肢体肌力5-级;
肌力:右上肢2级,右下肢3-级,腱反射可。
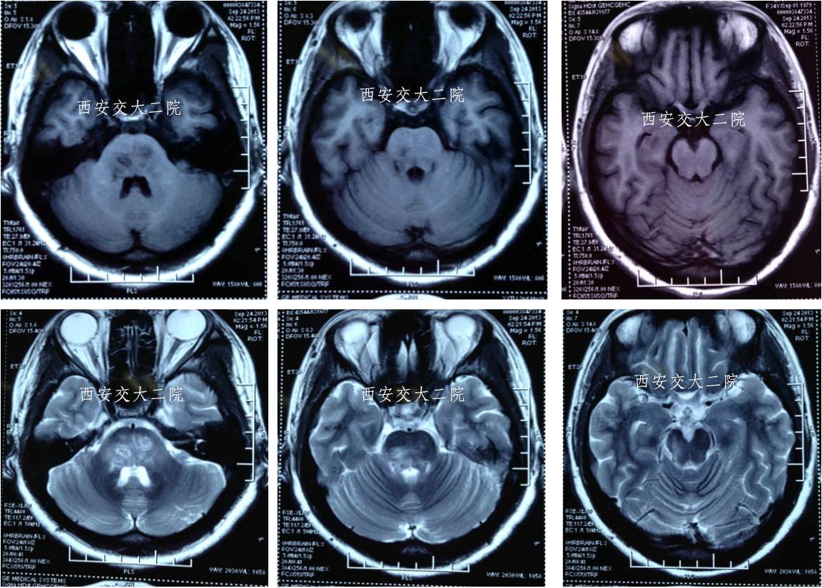
术后10天MR

术后10天MRA

术后2月随访
mRS评分1;
行走时右下肢稍拖曳;
言语、颅神经及书写完全正常。

术后随访
术后3月完全恢复正常
术后2年随访(至2015年9月23日)患者完全正常。病情无复发。
Case 2 颈内动脉急性闭塞取栓术
》47岁,男;
》系“亚急性细菌性心内膜炎 主动脉瓣关闭不全 心功能IV级;2型糖尿病”患者, 2013.11于我院心外住院,拟行换瓣手术;
》突然意识不清、右侧肢体活动不能1小时;
》查体:心界稍向左扩大,心率109次/分,律齐,主动脉瓣听诊区可闻及4/6级收缩期杂音。神经系统:嗜睡态势,完全混合性失语,双瞳孔形圆等大,约4mm,对光反射灵敏,右侧鼻唇沟浅,伸舌不能,右侧肢体肌力0级。
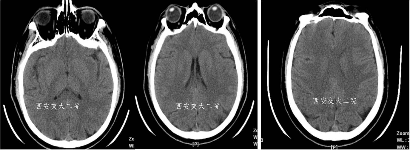
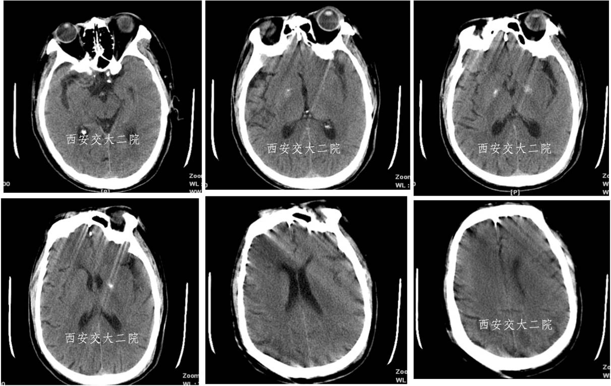
术前CT(病后1h)

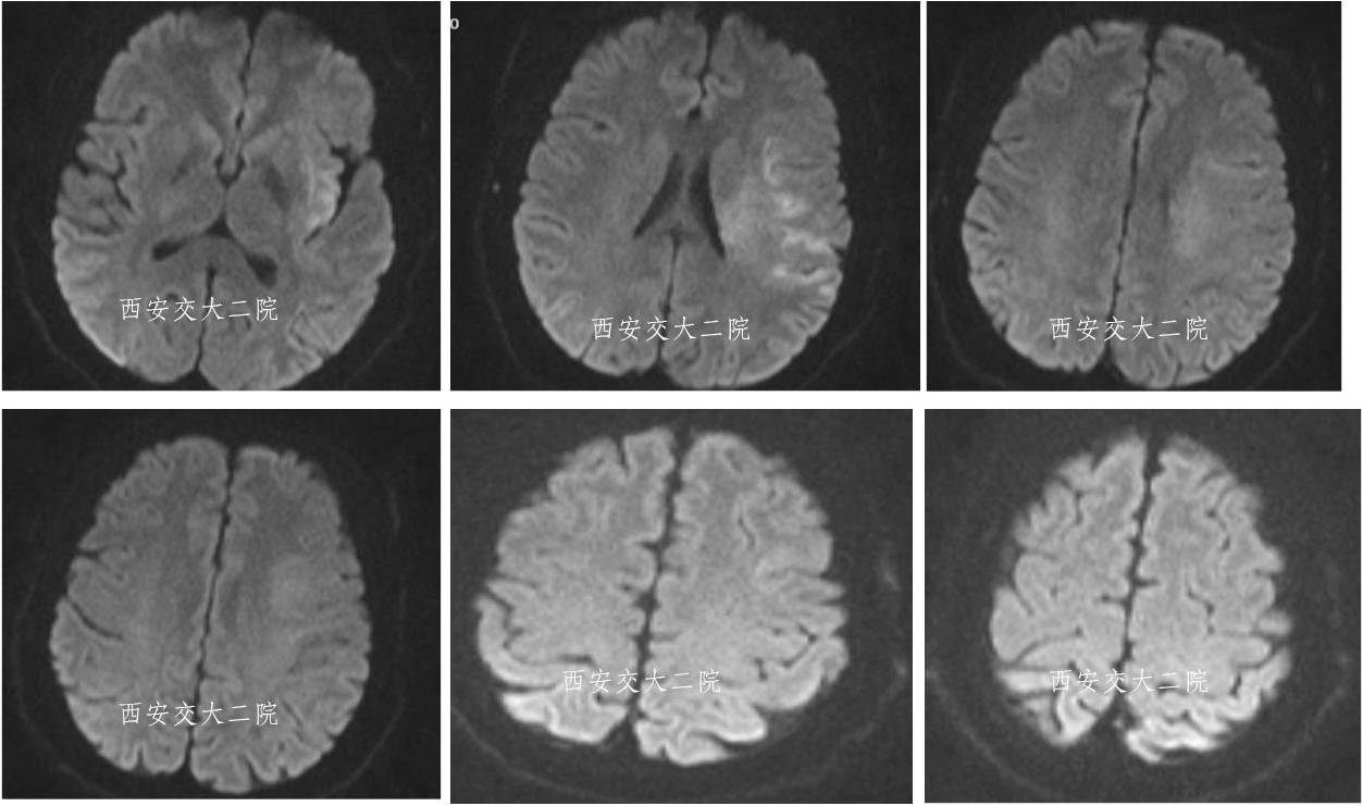
术前DWI

病后2小时动脉推注阿替普酶5mg,无果;solitaire AB(4*20)取栓,闭塞的MCA再通。

术后即刻病情及脑CT

术后24小时脑CT

术后病情变化
术后24h仍呈混合性失语,右侧肢体肌力Ⅴ-级。
术后48h言语恢复正常,右侧鼻唇沟略浅,四肢肌力Ⅴ级,转心外科继续准备手术。
Case 3 大脑中动脉急性闭塞取栓术
》67岁,男;
》有房颤病史,2013.11.25于我院心内住院;
》突然意识不清、左侧肢体瘫痪,言语不能1h;
》查体:嗜睡,混合性失语,双眼向左凝视,双侧瞳孔形圆等大,直径约3mm,对光反射灵敏,右侧肢体肌力0级。
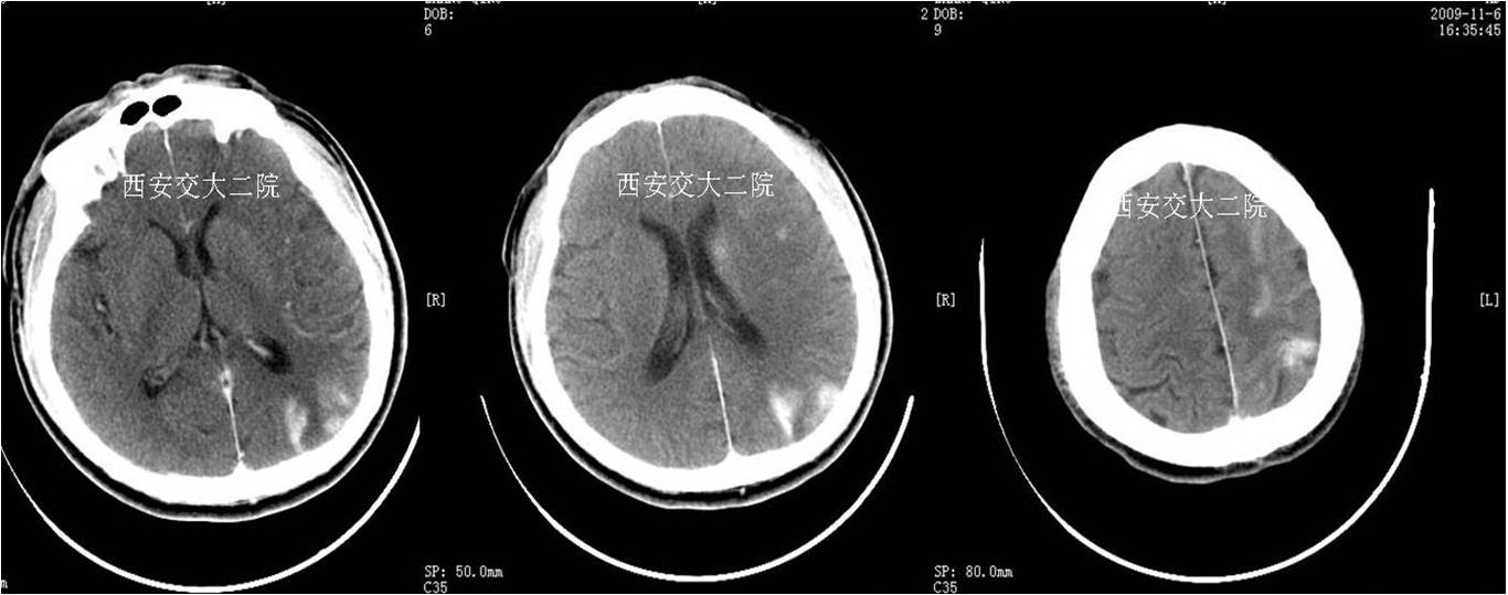
急诊脑CT

初步诊断
1. 脑栓塞 (左侧大脑中动脉闭塞)?
2. 冠心病
慢快综合征 心房纤颤
永久起搏器安置术后 心功能III级
3. 肺部感染
4. 2型糖尿病
病后2小时DSA示左颈内动脉眼段闭塞。

取栓后即刻脑CT及临表

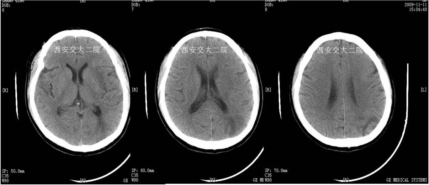
术后24h脑CT及临表

术后4天脑CT及临表

术后2周脑CT及临表

动脉溶栓+支架/球囊
Case 1 颈内动脉C1段急性闭塞(2009年)
》男,70岁,突发右侧肢体无力3小时,DSA提示左侧颈内动脉起始段闭塞。



Case 2 左侧大脑中动脉溶栓+支架 (2009年)
》男,44岁,突发言语不能,右侧肢体活动不灵2小时。
》尿激酶10万后MCA未通,给予Apollo支架植入。

术后即刻CT

术后5天脑CT

颅内/外血管狭窄支架成形术
Case 1 颈内动脉狭窄支架成形术(2009年)
》男,52岁,发作性左侧肢体无力2周,右ICA开口狭窄支架后。

Case 2 颈内动脉眼动脉段狭窄(2010年)
》女,51岁,左侧肢体无力1月,加重20天,DSA示右侧颈内动脉眼动脉段狭窄80%。

Case 3 大脑中动脉支架成形术(2012年)
》男,61岁,右侧肢体不自主运动12天。

Case 4 右侧颈内动脉开口狭窄(2013)
》男,80岁,发作性左侧肢体无力、右眼视物不清1年,药物治疗后仍有发作。


Case 5 椎动脉颅内段狭窄支架成形术(2009年)
》男,79岁,发作性头晕1年余,曾多次住院用药效果不佳。
》DSA:1.左椎闭塞;2.右椎v4段狭窄90%;至2014年3月随访58月,mRS评分1级。

Case 6 基底动脉狭窄支架成形术(2012)
》女,65岁,3年前丘脑出血后持续头晕,影响生活,1年来头晕加重,不能站立。脑DSA提示基底动脉中段狭窄。

》基底动脉中远段管径恢复正常。



Case 7 锁骨下动脉狭窄支架成形术
》女,63岁,活动后头晕,左上肢乏力3年。


Case 8 椎动脉开口狭窄支架成形术
》66岁,男;
》以“发作性头晕3月”之主诉入院;
》既往已行左侧颈内动脉支架成形术;
》诊断:TIA(椎基底动脉系统);
》脑DSA提示左侧椎动脉开口线样狭窄。


Case 9 椎动脉V2段夹层支架成形术
》男,61岁,头晕12天。


颅内/外血管慢性闭塞再通术
Case 1 左锁骨下慢性闭塞再通(2013年)
》男,75岁,头晕4年。
》DSA见左侧椎动脉起始闭塞,左侧锁骨下从右侧椎动脉血盜。



Case 2 右侧锁骨下动脉慢性闭塞再通术
》58岁,男;
》头晕、右上肢乏力4年,活动后明显;
》查体:右上肢皮温低,右侧桡动脉搏动弱,右上肢血压测不到。


Case 3 左锁骨下慢性闭塞再通(2015年)
》男,80岁,活动后头晕7年。
》5年前外院脑DSA发现左侧锁骨下动脉闭塞,右侧椎动脉开口狭窄,给予右侧椎动脉开口支架成形术,术后头晕稍有减轻,但活动后仍头晕,不能跳舞,患者坚决要求治疗。

Case 4 颈内动脉颅内段闭塞再通术
》女,57岁;
》左侧肢体无力1月于2014.1.8入院;
》诊断:脑梗死(右侧半卵圆中心)。
术前脑CT
术后患者病情逐渐好转。
术后3月自动停药,1年后再发右侧颈内动脉供血区脑梗,复查DSA见再通支架处血管再次闭塞。
神经介入中心展示
135编辑器
135编辑器提供非常好用的微信图文编辑器。可以随心所欲的变换颜色调整格式,更有神奇的自动配色方案。