
1
入院情况
-
纪**,男性,69岁,河北省唐山市人
-
间断胸痛15年,加重伴剑突下疼痛11天于2018-11-30 16:15入院。
1
现病史

1
既往史和个人史
-
既往否认糖尿病及高血压病史。
-
吸烟史30年,20支/日。
-
其1兄患冠心病,其父母均死于肺癌。
1
入院情况
T36.3℃ P92次/分 R23次/分 BP113/63mmHg
床头抬高30°半卧位,嗜睡状,口齿欠清晰,简单对答尚可。颈静脉无充盈,双肺呼吸音粗,双肺可闻及干啰音,双肺底可闻及湿性啰音,心脏浊音界扩大,心率92次/分,可闻及早搏,心音减弱,腹软,肝脾未及,双下肢不肿,双侧巴氏征阴性。
1
入院时化验
-
血常规:WBC16.11*10^9/L,GR%87.1%,PLT50*10^9/L。
-
血气分析:PH7.340,PCO226mmHg,PO266.0mmHg,HCO316.9mmol/L , ABE-11.8mmol/L。
-
cTnI 31.20ng/ml,BNP>5000pg/ml,NT-proBNP 19726pg/ml。
-
K4.91mmol/L,Na161.75mmol/L,Cl 129.70mmol/L。
-
CREA368.30,BUN63.86mmol/L,URIC 1345.48umol/L(CCR17.68ml/min)。
-
ALT 431U/L,AST 661U/L,Tbil28.20umol/L,Dbil15.60umol/L,ALB 36.2g/L。
-
PT24.5s,PTA35%,INR2.23,APTT37.6s。
-
GLU15.36mmol/L。
1
入院后辅助检查-超声心动图
-
11.29: LA45mm LV67mm LVEF30%,节段性室壁运动异常,心肌受累疾患不除外,左心扩大,二尖瓣少中量返流,左室收缩功能减低。
-
12.5:LA38mm LV68mm LVEF12%,左室扩大,左心功能减低,二尖瓣少中量返流。
1
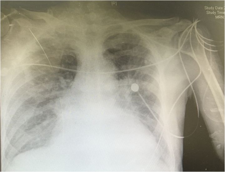
胸片
-
12.1 两肺淤血重,纹理模糊,左肺上叶结节影,肺动脉段饱满,左心增大。
-
12.3 肺淤血较前片加重。
-
12.5 两肺淤血,左肺上叶结节影,主动脉结偏宽,边缘钙化,左心增大。
-
12.6 肺淤血较前片好转。
-
12.7 肺淤血较前片加重。
-
12.9 肺淤血较前好转。
1
胸片2018-12-01

1
胸片2018-12-03

1
胸片2018-12-7

1
1
头CT报告(入我院当天)
头CT平扫未见明确脑出血及梗塞灶,老年性脑改变,副鼻窦炎。
1
入院诊断

1
诊疗经过
-
11.30 入院利尿、抗感染(舒普深+他格适)、扩冠、维持血压、保肝、保肾治疗。
-
12.1 患者家属拒绝床旁血滤治疗(针对高钠血症和容量超载),进食差,给予低钠匀浆及温水鼻饲(24小时共1200毫升,此后每天鼻饲清水1500-2500毫升),患者低蛋白血症(ALB35.4g/L),输注人血白蛋白。
-
12.2 患者出现咯血,停阿司匹林,继续波立维。
-
12.3 输注血浆(针对感染和凝血障碍)。
-
12.5 诊断为糖尿病,胰岛素控制血糖。
-
12.6 停他格适,给予利奈唑胺。
-
12.8 停舒普深,改为美平。
-
12.10 出现腹泻,考虑肠道菌群失调,加用整肠生、思密达。加用卡泊芬净抗真菌。
-
12.11 患者血压降落,增加升压药物剂量。
1
用药情况(心血管)
-
氢氯吡格雷 75mgqd
-
硝酸异山梨酯10mgq6h
-
阿替洛尔6.25mg bid
-
多巴胺 200ug/min 持续
-
去甲肾 3ug/min 持续
-
单硝酸异山梨酯注射液25ug/min

1
其它系统用药
-
11.30舒普深 1.5gq8h,12.8美平
-
11.30他格适 ,12.6改为利奈唑胺
-
异甘草酸镁(天晴甘美)
1
出入量
-
11.30-12.107:00 入457ml/出800

1
电解质指标

1
血钠与总入量关系

1
血钠与清水入量

1
神志
患者入院即有意识障碍,精神萎靡,嗜睡状,口齿不清。偶有烦躁不安、谵语。家属回忆,入院前才出现的这个异常,再往前2-4周的精神态势和口齿是好的。
1
转归
-
2018-12-11 02:12,出现血压降落,调整去甲肾上腺素及多巴胺泵速;
-
2018-12-11 14:00,复查血气分析提示:Ⅰ型呼吸衰竭,患者病情无好转,急救车转运患者回当地诊治;
-
2018-12-12 晨(外院电话联系),患者已回到当地,转运途中无尿,神志恶化,到家后血压降落,死亡。
1
讨论内容
1.高钠血症的定义、诊断标准。
2.高钠血症的病因?
3.高钠血症治疗方法?
1
APACHEⅡ评分
-
评分为24分
-
APACHEⅡ评分意义:10-20分病死率50%,>20分病死率81%-100%
1
血钠和死亡率的关系

1
高钠血症的定义
高钠血症是一种严重的水电解质平衡紊乱的机体态势,血清Na离子浓度>145mmol/L,并伴有血浆渗透压的升高。
1
高钠血症分型

1
高钠血症的临床表现
-
高钠血症主要引起神经系统的症状。
-
急性高钠血症起病急骤,主要表现为淡漠、嗜睡、进行性肌肉张力增加、颤抖、运动失调、惊厥、癫痫发作,甚至昏迷而死亡。婴幼儿且可表现为呕吐、发热和呼吸困难。
-
慢性高钠血症症状较轻,初期可不明显,严重时主要表现为烦躁或淡漠、肌张力增高、深腱反射亢进、抽搐或惊厥等。
1
高钠血症的实验室检查指标
1.常用血液化验指标
(1)血清钠浓度 升高,大于145mmol/L。多伴有高氯血症,且两者上升的程度一般一致。
(2)血浆晶体渗透压 血浆晶体渗透压常升高。
(3)血液量 正常或升高,红细胞计数、血红蛋白、血浆蛋白及血细胞比容基本正常或轻度降落。
(4)红细胞形态 红细胞体积缩小,平均红细胞血红蛋白浓度升高。
2.常用尿液化验指标
(1)尿钠浓度 多明显升高,但在应激反应早期的患者多有所降落;在内分泌紊乱者,尿钠浓度多降低。
(2)尿氯浓度 与尿钠浓度的变化一致。
(3)尿渗透压和尿相对密度 与尿钠浓度的变化一致,多数患者由于氯化钠排出增多,水分吸收增多,渗透压和相对密度皆明显升高;在内分泌紊乱者,尿渗透压和相对密度较低。
3.其他辅助检查
(1)脑脊液检查 部分患者中可发现红细胞及蛋白增多。
(2)脑CT检查 必要时做脑CT检查。
1
高钠血症保守治疗方法

1
高钠血症连续性血液净化(CBP)
✦ 推荐用于高钠血症
✦ 特别适用:a.低血压 b.大量补液、营养支持
✦ 优势:
1.补液方便
2.内环境及电解质平衡好控制
3.血流动力学稳定
4.改善气体交换参数
5.保持脑灌注
1
与利尿剂相比,超滤解决容量负荷的优势

心力衰竭容量管理中国专家建议推荐:心衰容量超负荷、且常规利尿剂治疗效果不佳时推荐血液超滤治疗,如合并急性肾损伤或严重肾功能不全,选择血液透析滤过等肾脏替代治疗。
