在日常生活中,孩子出现呕吐症状是常见的现象,但是有的孩子会反复的、周期性的发作,每次发作几小时甚至好几天,严重影响了孩子的生活质量和健康发育。这是怎么回事呢?北京京都儿童医院消化科主任徐樨巍教授,联合中国人民解放军总医院(*013院医**)儿内科主任邹丽萍教授,重磅推出6期系列讲座,权威解读儿童周期性呕吐综合征。
第三期:表现为周期性呕吐症状的还有哪些疾病?邹丽萍教授全面讲解!
非常高兴我们今天能够来讨论像周期性呕吐或周期性呕吐综合征这一类疾病,这一类疾病看起来很容易易,但是我们如何去区分里头混杂的其他疾病,还是应该让家长有一些重视。什么是周期性呕吐呢?就是这种呕吐是反复发生的、每次发生的间隔时间是差不多的,它有很复杂的诱发因素,这些要点徐樨巍教授也已经跟大家分享过了,希望大家能够知道。
我找了一张图片,这张图片显示我们的腹部有一个大脑,这是近几年大家研究非常热的,称我们所有的胃肠系统叫做第二大脑。我们第一个大脑在脑子顶上边大家都知道,可是大家并不知道我们整个胃肠系统被称为第二大脑。呕吐和大脑到底有什么魔性的关系呢?大家可以看到旁边这张图片,这是国际上对儿童功能性胃肠病的一个诊断标准,也就是说全世界的医生都必须按这个标准来给孩子下诊断。

那么在这张表格上大家可以看到我用红颜色标着的两个:在儿童功能性胃肠病中,H1b我们叫周期性呕吐,H2c我们叫腹型偏头痛。头痛和呕吐到底有什么关系?它们两个确实一直到现在都没有完全扯清楚,所以各类的学者都在争论,消化系统的专家认为属于消化系统,神经系统专家认为属于神经系统。那我自己认为就是我们说的腹型偏头痛或者我们叫偏头痛的变异型、还有现在叫的周期性呕吐、还有完全诊断的偏头痛,其实是一个疾病的不同表型,那么我们讲第1个疾病就是:
偏头痛
头痛里头,大概有35%~65%是以我们头痛就是这个症状,那么里头的偏头痛呢大概有15%~45%,还有一些叫固痛期头痛40%~60%,其实都是调查研究发现的,所以不同的流行病学里调查是不一样的,家长可能都知道,自己都出现过头痛,感冒发烧的头痛、不舒服的头痛等等都有,有时候劳累了、紧张了,还有紧张性头痛,在这个里头头痛有一种叫做偏头痛。
偏头痛是一种什么疾病呢?临床上称它为原发性头痛,它是以中重度、搏动样头痛为主要表现,头痛多为偏侧,也有两侧,一般持续4~72小时,关键是头疼的时候有恶心、呕吐、特别怕光、怕声、怕刺激,这些因素都会加重头痛,头痛发生以后特别需要安静、需要休息,所以我在门诊的时候经常问我们的孩子,你头痛的时候喜欢到商场吗?喜欢去玩吗?如果是紧张性的头痛,孩子是非常喜欢的,他只要在外头一玩一放松头痛就缓解了;偏头痛恰恰相反,这时候他就需要安静、需要睡觉,他害怕玩、害怕嘈杂的环境,所以这个是在临床一个非常好的鉴别点。

那么周期性呕吐综合征,大家可以看到,这是国内外学者研究出来的一个表格,周期性呕吐综合征,就是今天我们讨论的疾病,到了青春期和成人之后,有30%的病人就表现为头痛了,它的持续时间是:年龄越小,时间越长,比如说小于3岁的孩子他发病,他周期性呕吐的时间可以持续3~8年,基本上3/4的病人到了18岁,他的呕吐就完全停止了,所以大家可以看到有1/3的病人最终以偏头痛来表现出来。
为什么我们说我们的偏头痛和周期性呕吐那么相关呢?现在研究认为,很多大脑的发育是跟肠道菌群有关系的,是因为肠道菌群引起了第二大脑的发育,所以我们会受很多这个问题的影响。比如在怀孕的时候妈妈受过感染、受过刺激、过度的饮食,那么肚子里的宝宝就受到这些情绪的影响,影响了妈妈的胃肠道的菌群生长,这个菌群的生长让孩子的大脑又受到了它的调节;包括我们现在认为剖腹产没有从阴道分娩,这个都影响了孩子的肠道菌群,很多父母害怕孩子输在起跑线上,但是父母根本就不知道,选择剖腹产,没让孩子从我们的产道分娩出生,其实就更改了他的肠道菌群,让孩子出现很多我们现在解释不了的精神病,我们知道妈妈的产道为了迎接孩子的诞生,它会产生很多有益的益生菌来帮助孩子的消化道和大脑发育,但是剖腹产就让孩子失去了人工建立的产道或通道,所以有些学者认为孩子第一步就输到了人生的起跑线;后来孩子出生,早产、感染和喂养方式都改变了孩子的肠道功能,也就是后来出现很多的包括周期性呕吐、包括神经科出现的多动症、抽动症、孤独症,都是跟在整个生活里程中妈妈的肠道菌群、孩子出生后的肠道菌群生长不协调紊乱导致的疾病发生。早年的生活、遗传学、环境,长大以后的心理态势、应激态势、负性事件都可以导致不良的脑功能与行为。
所以大家就知道,很多周期性呕吐的孩子是有诱因的,就跟偏头痛的孩子是一样的,不能紧张、害怕考试、挨打挨骂都会出现偏头痛的症状,特别是以植物神经为主,什么叫植物神经的症状呢?就是呕吐、难受、面色改变、剧烈头疼等等,这个就是因为各种因素影响了我们位于胃肠的第二大脑。保护好我们的胃肠,不单单是吃、长体重的问题,它跟我们所有的情绪神经包括智力发育都密切相关,所以这就是人们说的有一个非常重要的我们叫神经内分泌网络也叫脑肠轴。脑肠轴会引起我们整个大脑的发育、胃肠道的分泌、我们对社会的一些行为的反应,所以这是一个从机理上解释为什么周期性呕吐和偏头痛有这么多的扯不断的关系。
癫痫
第2个疾病就是癫痫,在大家心目中对癫痫的认识是:躺在地下、吐白沫、四肢僵硬,老百姓都称为叫羊角风。但是在儿科的癫痫中还有一些特别特殊的类型,我们给他起了个名字叫:Panayiotopoulos综合征,他是一个希腊的小儿神经学家的名字,他就发现有这么一组病,也是有癫痫发作,但是他往往都是晚上睡觉的时候,那么他可以有呕吐发生,吐的时候面色苍白或少见的面色潮红或发绀、瞳孔散大或少见的缩小、大小便*禁失**,只有1/5的孩子表现为反应丧失和全身松软,但是没有癫痫发作,它特别好发年龄跟周期性呕吐的年龄非常相似——1~14岁,76%在3~6岁,男孩子和女孩子是没有区别的,2/3的病人是在睡眠中发生,多数为丛集性呕吐,所以这也就是有周期性呕吐的孩子住院以后,我们的医生一定会给孩子做相关的检查来排除这个病。
Panayiotopoulos综合征,最初孩子在呕吐的时候是完全正常的,跟周期性呕吐不同的是,它吐到一定的时候出现意识模糊、反应丧失、眼球偏向一侧或瞪眼凝视。所以父母如果发现孩子有呕吐,表现精神不是特别对头的时候,一定要找医生,因为只有一半的患儿会出现肢体抖动 ,就是大家认为的羊角疯样的发作;有1/3或一半的病人只表现为呕吐,所以这个就我们要关注了,但是它的呕吐和周期性呕吐又是完全不一样的,它的呕吐时间比较短,吐完了很快就睡着了,第2天起来或者是白天吐完睡一觉就完全正常了,而周期性呕吐的孩子不是这样,他一旦呕吐的动作启动,从1~7天之内不等,天天吐,滴水不能进,非常痛苦。
那么我们如何鉴别Panayiotopoulos综合征和周期性呕吐呢?一个非常简单的方式,给孩子做一个脑电图,出现了这种高的尖尖的波,我们叫癫痫波,学名叫:棘波,有了这个医生就会给你诊断,它的处理方式也相对比较简单,只要给孩子吃抗癫痫药,还有一个就是管理好胃肠道,晚上不能吃的太饱,你把第二大脑喂得太饱,它就入睡不安,就会诱导癫痫发作,这个是我们家长一定要关注的。
颅压高
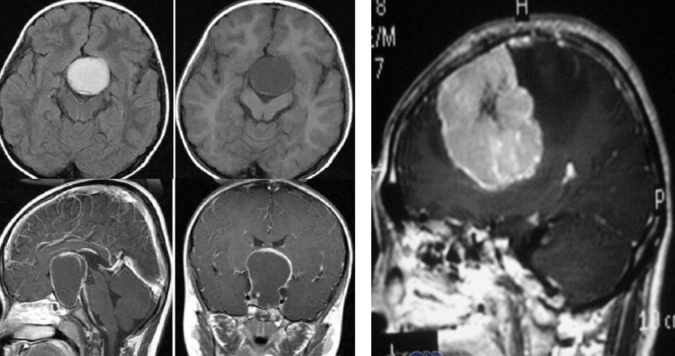
第3个疾病是颅压高,颅压高其实大家知道是我们脑内的压力高了,那么它不外乎这压力高是我们的容积多了,另一个是水多了,第三个是它分泌多了排不出去了。不管是哪一种原因造成的脑内压力增高,在开始的时候,很多孩子会表现为除了呕吐以外,会出现脖子痛、剧烈的头痛、头晕等等,所以这样我们就要关注。

大家可以看到这张片子,大大的白颜色的就是脑内长瘤子了,脑里长的瘤子挤压了正常的空间,就像我的床只能睡一个人,我非要睡三个人,有一个人一定会挤到地下去的,那么脑内的空间也是这样,没有它的位置。
还有颅内出血,这种出血在儿科确实常见,尤其是小不点的孩子,家长容易忽视,比如摔了一个跟头,有的时候是慢性渗血,它不是急性出血,挫伤了以后慢性渗血,然后会导致孩子的呕吐,因为它一侧出血会导致孩子眼睛斜位、也会出现头疼、精神态势不好,这个也是在临床中一定要关注的。
还有我们老百姓知道的脑积水,脑积水它是因为脑内有一些保护我们脑组织输送营养、润滑细胞之间的液体,我们叫脑脊液。那么脑脊液它两种,一个是它排不出去了,就像家里的下水管子堵了,一定会把水池子堵上;还有一种水池子下水每分钟只能下10毫升,但是我们开巨大的管子,1分钟可以1万毫升,那就相当于分泌多了,它就会造成脑积水,脑脊液多了,出不去或是分泌多了,小不点的孩子就会出现大脑袋,所以我用了一个脑积水的一级、二级、三级来表示:

大家可以看到灰蓝色的越大,脑积水越厉害,所以孩子也会表现为呕吐。如何发现脑积水的这个情况是被占位、被颅压高导致非常容易,做一个影像学的片子,比如做一个CT、做一个磁共振,就可以看到脑子里长没长瘤子、有没有出血、有没有压力高造成脑积水,这个问题就非常容易地解决了。
还有一个就是脑炎,脑炎导致的呕吐往往在临床中比较容易识别,因为孩子多数都是以发热呕吐起来的,很难出现周期性的这种呕吐,但是如果是一种慢病毒的侵入,可能有极个别的孩子会出现慢慢的呕吐,吐一段时间压力缓解一点,然后过一段时间又呕吐。

这张图告诉大家,脑炎仍然是全球5岁以下儿童死亡的最大原因,占新生儿脑死亡的12.8%,肺炎在新生儿里感染有一部分潜移默化的可以导致不典型的脑炎,而这种脑炎在小不点的表现就是呕吐,它有一个特点,他可能年龄越小,发烧的越少见,但是他的精神态势特别不好,就是老百姓说的特别蔫、没精神,这时候一定要去看医生。严重的,我们大家都知道了,发热、呕吐、头疼、昏迷、脖子硬等等,这些都应该知道,但是早期的症状就是这种呕吐、精神态势特别不好、或是首次发作这种呕吐,就一定要去找医生去看,非常简单医生会给孩子做一个腰椎穿刺,很多家长有一些固有的想法,认为腰椎穿刺就给孩子穿傻了,这是不可能的,我们做手术的时候要做腰麻也是腰椎穿刺,会打麻药打进去,但是流出来的是一种脑脊液,为什么要做腰穿?只有那个地方没有神经组织,针进去以后才安全,其他的地方进去的时候容易扎到神经组织,这是一个关键问题。那为什么有的家长说我的孩子做了腰穿最后变傻了?其实不是腰穿的事,是孩子本身得了脑膜炎,脑膜炎的后遗症让孩子的智力受了损伤,我觉得这一点是非常重要的。
先天性代谢病
第4个疾病是先天性代谢病,代谢病在儿科年龄越小越要关注。什么是先天性代谢病?它其实是由一种单基因缺陷引起的、以代谢功能障碍为主要表现的先天性缺陷病,到目前为止有500多种病种,它的发病率是500个孩子中就会有1个。如果说有一个代表的病,大家都知道糖尿病,糖尿病分为后天得的,就是成人以这个为主;但是儿童也有糖尿病,最小的是糖尿病患者几个月就发生了,这种糖尿病就是由单基因缺陷引起的。
所有我们体内进的物质都会出现,你的基因缺陷的时候导致相认的疾病太复杂了,就不跟大家一个个去讲了。比如说我们吃的蛋白质,蛋白质大家都知道非常重要,但如果蛋白质吃多了,会出现家族性高脂蛋白血症、无白蛋白血症,对孩子来讲就非常异常了;比如吃一些干果类的东西,花生、瓜子,但是有的孩子就不能吃,比如说肝豆状核变性,它是铜代谢异常,吃这些干果类的东西就可以触发疾病发生,等等非常多的疾病,所以我们大家知道这一类的疾病叫先天性代谢病,也有的学者叫遗传性代谢病,这个遗传不是说每个患儿都是爸爸妈妈遗传,这个遗传就是带有遗传物质的基因缺陷,也可能是它自己变的,我们叫新发的基因突变导致了疾病的发生;如果是隐性遗传病,一定是爸爸妈妈各带一个基因传给孩子的,比如大家都知道的苯*酮丙**尿症,就是新生儿出生后要给扎脚丫子的血,就是为了除外苯*酮丙**尿症,它就是氨基酸有问题,不能吃蛋白质,但是现在我们查出来能治了,那就要给这种孩子去除苯丙氨的那种奶粉,一种特殊的奶粉,吃面粉也是特殊的面粉,他吃了饮食和奶粉,就可以跟正常孩子一样成长了。但如果我们不知道他这个病,给他吃正常的蛋白质,鸡蛋、牛奶,孩子就会发病,会抽疯、会智力低下,也有的孩子这一类疾病会表现为呕吐,可能会出现很多的症状,但是呕吐是我们必须,特别是在早期它这些物质代谢不了,胃肠是我们的第二大脑,它为了救自己就拼命地要把这些东西吐出来,所以如果我们在临床上或者在家里发现宝宝老要吐,过一段时间就吐一吐,一定要去找医生,一定要关注在这种反反复复的呕吐过程中有一种疾病叫做先天性代谢病或叫遗传性代谢病。
那么让我们什么时候能够想到或去诊断呢?那也是非常容易的,如果医生和家长考虑到了,我们就会给孩子做一个叫血尿代谢检查,它其实就是用我们非常高级的尿气相色谱-质谱仪和血的串联质谱仪给孩子做筛查,有的孩子留点血留点尿,就发现他是一个代谢病,那么最终还是要基因的诊断。现在的家长知识水平高,又善于利用互联网,有一些家长自己诊断,因为家长跟孩子最近,可以视察一些蛛丝马迹的、会被忽视的临床症状,所以大家脑子里有了这些概念以后,就会容易发现孩子的问题。但是我们不能瞎子摸象,呕吐就相当于摸到了一个尾巴,那么就说这是一条蛇;摸到了鼻子,就把鼻子又比出了一个什么病。
今天我们虽然讲的专题是周期性呕吐,但是所有的疾病大家关注都是一个系统的、连接的,不能以点代面的诊断,特别是我们的家长,有时候把一个症状放到无限大而忽视了其他症状。所以我是觉得不管任何症状,还是应该找儿科医生去看。
刚才讲了区分和鉴别的关键点,也是我们如何认识周期性呕吐这个疾病,和它相关的疾病进行鉴别,那么我总结出来有三点:
第1点,一定要呕吐,如果一次的呕吐,我们就要看其他的症状,精神的反应、肚子、胳膊、腿,因为呕吐的症状所有的系统都会有,包括肾脏有问题,有的患儿得肾炎,如果他家长没有发现,他都肾功能衰竭了,表现的第一个症状就是呕吐,所以我们叫氮脂血症也就是慢性肾功能衰竭的时候,有的孩子就是以呕吐来表现,这时候你要找医生查一个血生化就能够发现这个问题;
第2点,周期性呕吐一定是反反复复的出现,今天出现了过了还没一个礼拜好了,然后又出现了,过了一个月又出现了,所以原来的旧名字也把周期性呕吐叫作为再发性呕吐;
第3点,周期性呕吐最主要的一点就是发作停止以后一切正常,该玩该跳就跟没事似的,所以这个也是我们鉴别周期性呕吐的一个非常重要的一点,而其它疾病就不是这样了。
但是家长一定要关注,不管是任何症状,还是要请医生帮助你鉴别诊断,大家要知道孩子的疾病是什么、孩子需要关注的点和治疗的关键点是什么,不单单是我们今天讲的周期性呕吐是这样,是关于孩子所有的疾病都应该是这样的。
周期性呕吐系列讲座第4期,徐樨巍教授将继续为家长解读:周期性呕吐发作时该如何应对,4月3日,不见不散!
