一张二维的胸片中,肋膈角处的异常是胸膜增厚?还是少量胸腔积液,还是模模糊糊分不清?
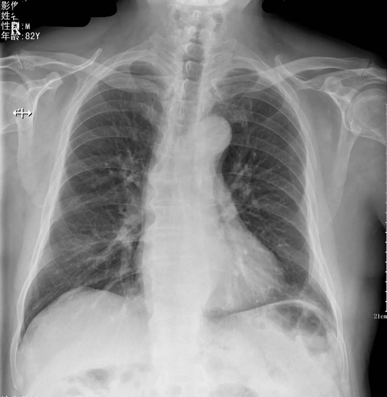
>>>>病例1:男 82岁 体检,患者自述无任何不适。


左下肺最有可能的诊断是?
A.包裹性积液
B.胸膜增厚
C.胸腔积液
D.心包脂肪垫
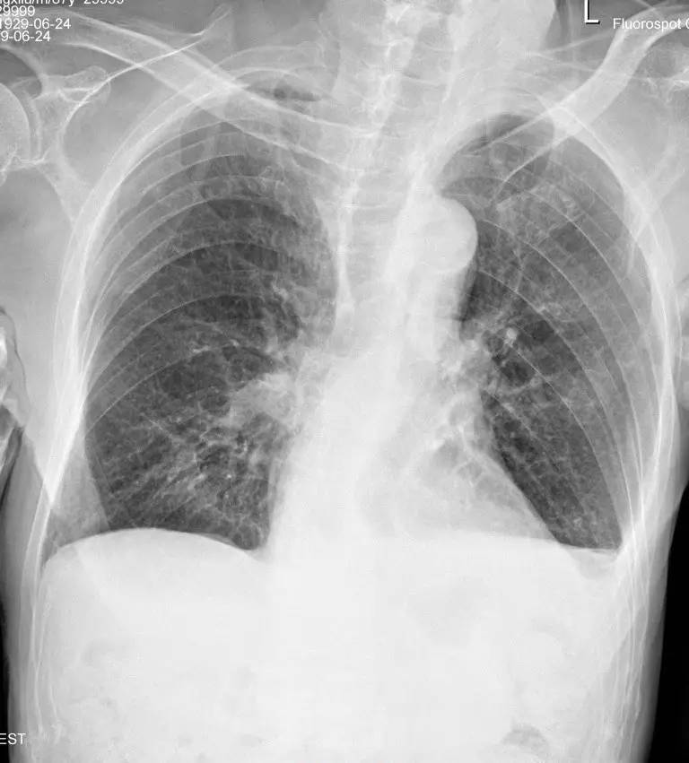
>>>>病例2:男,88y,右侧胸痛月余。


左下肺最有可能的诊断是?
A.包裹性积液
B.胸膜增厚
C.胸腔积液
D.心包脂肪垫
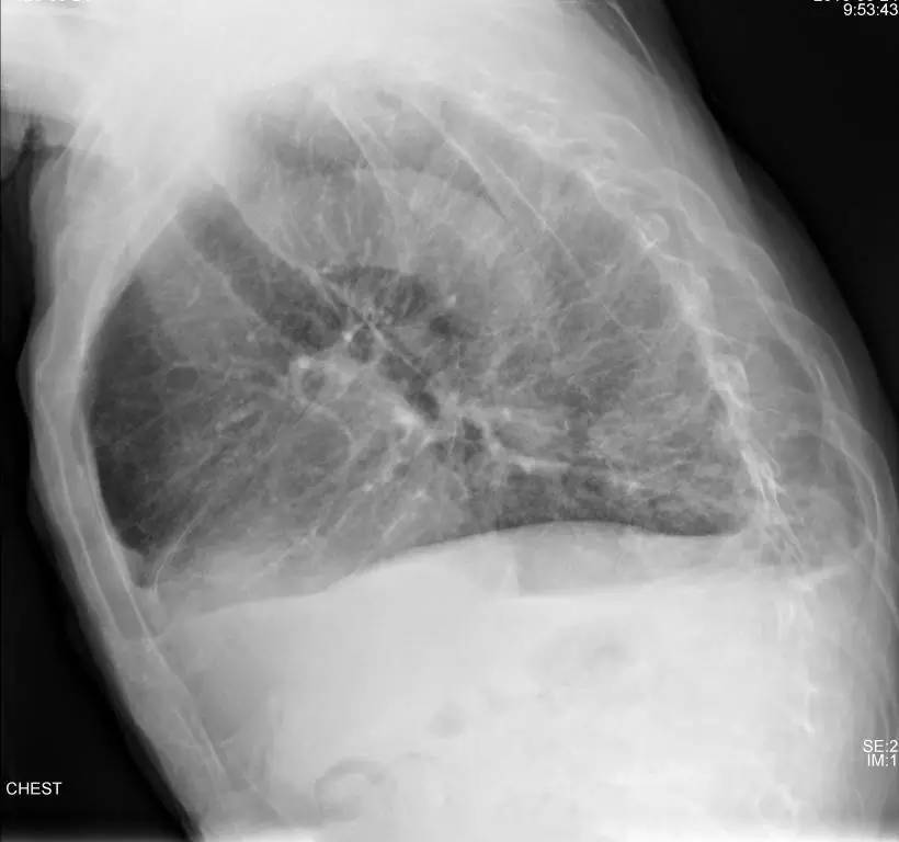
>>>>病例3:女,89岁,慢阻肺多年。

左侧胸腔最有可能的诊断是?
A.包裹性积液
B.胸膜增厚
C.胸腔积液
D.心包脂肪垫
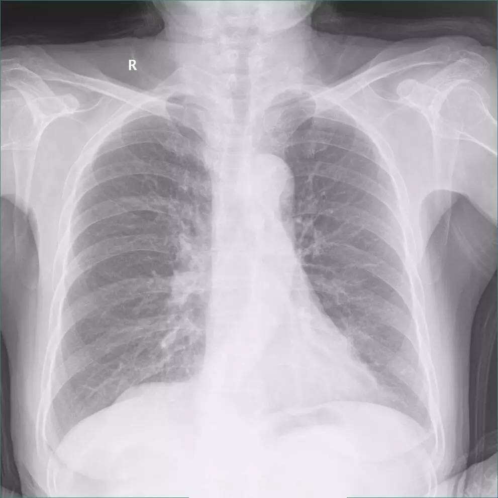
>>>>病例4:女,64岁,咳嗽两天来查。


最有可能的诊断是?
A.包裹性积液
B.胸膜增厚
C.胸腔积液
D.心包脂肪垫
打开网址:http://v3shareapi.hk515.com/shareapi/articelShare/shareIndustryNew?id=662122110935769088 , 查看详情和答案!