
医脉通编译整理,未经授权请勿转载。
导读
一位30岁女性因直肠疼痛而无法坐下,真相到底如何呢?一起来看看吧......
主诉与现病史
一位30岁女性自述有直肠疼痛、流血等症状,伴里急后重。几天前,她就便秘在急诊部接受了检查,医师将其诊断为内痔并给予其大便软化剂和含氢化可的松成分的栓剂治疗。
然而,大便软化剂并没有缓解她的便秘,因此,她又自行购买了几种非处方药。现在她每天在家使用的药物包括泼尼松,氢可酮,曲马多和布洛芬。
体魄检查与其它检查
体魄检查显示,该年轻女性因疼痛而无法坐下。该女性的肛门外部检查的结果显示正常,而肛门的内部检查因遭到女士拒绝而未进行。实验室检查结果完全正常(全血细胞计数、肝功能检查)。
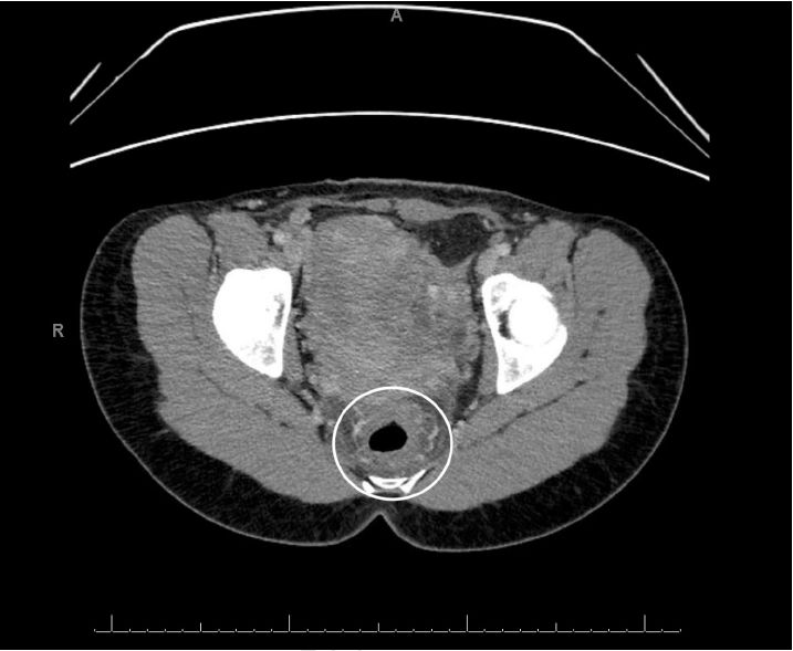
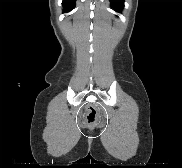
HIV和粪便检查结果为阴性。腹部和骨盆的计算机断层扫描(CT)扫描提示了异常发现(图A,图B),因此,我们又用内窥镜对患者进行了检查。在接下来的几天,乙状结肠镜检查的结果如图C、图D和图E。

图A

图B

图C

图D
图E
正确的诊断结果是什么呢?
双氧水灌肠后引起的化学性直肠炎
分析解答
腹部和骨盆的CT显示直肠壁增厚,提示直肠的炎症和充血,即直肠炎(图A,B)。乙状结肠镜检查的结果显示直肠和远端乙状结肠内的粘膜严重充血,伴随弥漫性红点(图C,D)与表面渗出物,且直肠和乙状结肠远端的粘膜脆弱。这些发现与化学直肠炎,特别是过氧化氢诱导的化学直肠炎的表现一致。
即使在化学性直肠炎中,由过氧化氢引发的化学性直肠炎也并不常见。 白色的渗出物(图E)和气囊(图C,D)是经典征象,被称为“白雪”标志,这种标志在同样的化学性直肠炎的病例中被多次发现与讨论。它的发病机制被认为是化学物质进入粘膜后,在损坏粘膜的同时形成氧气,故可见微泡的存在。
从该病例中得到的经验与讨论
双氧水在过去的几年中的应用很广泛,包括被用于胎粪性肠梗阻、便秘和粪便嵌塞的处理。同时,在内镜检查中,双氧水更被广泛用作常规消毒剂,已经有许多由医源性过氧化氢诱发的肠炎的案例报道。
无独有偶,在2003年,国内的《中国肛肠病杂志》也发表了类似的名为《双氧水致急性直肠炎3例》的报道。报道中指出,肛瘘和肛测脓肿术后,医师常采用双氧水冲洗创面,而此时若将双氧水误注入直肠内,则能引起急性直肠炎、直肠溃疡。
解决方法是:使用3%双氧水冲洗创面时,首先应避开粘膜部位,换药时可首先将棉球填塞肛门和挂线处的上下两侧,防止液体流人直肠内,一旦发现流入直肠,应立即处理。
而若在肠镜检查中大量使用双氧水,甚至会导致结肠坏疽和破裂,以及暴发性结肠炎。因此,在肠镜检查中已经不提倡大量双氧水的使用了。
在肠镜检查中,需要仔细鉴别过氧化氢肠炎、直肠炎与急性溃疡性结肠炎、缺血性结肠炎和假膜性结肠炎。对详细病史的采集至关重要,因为不同的诊断的后续治疗方案也存在差异。
在这个病例中,患者最初不愿意透露她为了减轻便秘的痛苦,曾私自使用过3%过氧化氢灌肠。经过反反复复的询问后,她才透露了这一点。医师再依据这一用药史回过头去看内镜结果与影像学表现,发现这些信息与她的内窥镜检查结果和影像学表现都相一致。
明确诊断了之后,接下来就好办多啦。她依照医生的要求使用类固醇栓剂3天,同时腹痛布洛芬减轻身体上的疼痛。不长之后,她的病情就得到了大大的改善,5天后她成功出院了。
总之,这是一个少见的病例,一般的临床医生也许难以想到这样的诊断,对完整病史的询问对诊断尤为重要。下次遇见过氧化氢肠炎的患者,你知道怎么处理了吗?
医脉通编译整理自:
[1]. R. Kibria, S.A. Ali, and C.J. Barde. Gone but not forgotten. “Bubble gum enema” containing hydrogen peroxide and causing life-threatening colitis. Gastrointest Endosc. 2010;72: 619-620.
[2]. J Bilotta, J Waye. Hydrogen peroxide enteritis: the “snow white” sign. Gastrointest Endosc. 1989; 35;428-430.
[3]. B.L. Love, D. Pharm, S. Siddiqui, B.J. McCallum, and R.M. Helman. Severe chemical colitis due to hydrogen peroxide enema. J Clin Gastroenterol. 2012; 46; 87.
[4]. 李永奇,双氧水致急性直肠炎3例,中国肛肠病杂志,2003 , ( 7 ).
-----

-----