
例1 85岁男性患者,以黑便入院。既往高血压、房颤、心功能不全、带状疱疹。无淀粉样变性家族史。
因住院治疗高血压病,心房纤颤,心力衰竭导致心悸、面色苍白,后出现黑便,近期血常规:HGB 67g/L,行内镜检查。
入院查体:身高173 cm,体重46.8 kg,血压86/52 mmHg,脉搏78次/分,体温36.0℃. 眼睑结膜有贫血,口腔内无巨舌等异常,表面淋巴结未触及。心音节律不齐,无杂音。呼吸音正常。腹部平坦、柔软,无压痛,未触及肿瘤。神经系统检查无异常。
血常规:HGB94g/L,白蛋白:25g/L。肿瘤标志物:CEA,CA 19-9均在正常范围内。血清IgG 2036 mg/dL。血清蛋白免疫电泳检查:IgG-λ型的M发现蛋白血症。
内镜检查(图1):胃黏膜整体粗糙、弥漫性隆起,易出血。在胃体下部、胃窦部黏膜的粗糙明显,散在小隆起,一部分也发现了较大的隆起性变化。ME-NBI视察即使残留着接近正常的腺管,表面微细结构的消失也很明显,在褪色区域也发现了血管的扩张和蛇行、腺管结构的紊乱。

图1a 白光内镜 胃体下部黏膜整体粗糙、易出血性,发红和褪色混合存在。

图1b 靛胭脂染色 贲门部黏膜的明显的凹凸不平。

图1c ME-NBI 胃体下部褪色区域中不能识别白区,微小血管的密度降低很明显(箭头)。(问题:NBI放大表现如何与MALT淋巴瘤鉴别)

图1d ME-NBI 贲门部 白区不清晰,微血管扩张、蛇形,分布不规则(箭头)。
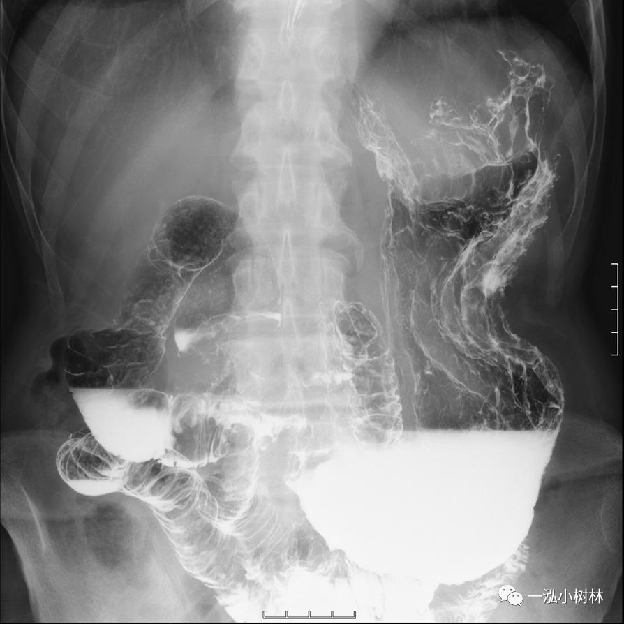
上消化道钡餐(图2):整个胃壁不规则伴随着变形,穹顶部变型明显,胃窦部也有变形。从食道、十二指肠到上部空肠有狭窄和通过没有发现障碍。

图2 上消化道钡餐:胃黏膜整体粗糙,胃壁壁不规则、变形。食管、十二指肠比肛侧的小肠没有发现狭窄和通过障碍。
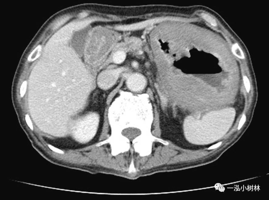
腹部CT检查(图3):胃壁弥漫性肥厚,整个胃呈肿块状。胃周围的淋巴结肿大和腹水不明显。

图3 腹部CT 胃壁弥漫性肥厚,胃周围淋巴结肿大和腹水不明显。
骨髓穿刺检查:正常的骨髓组织。
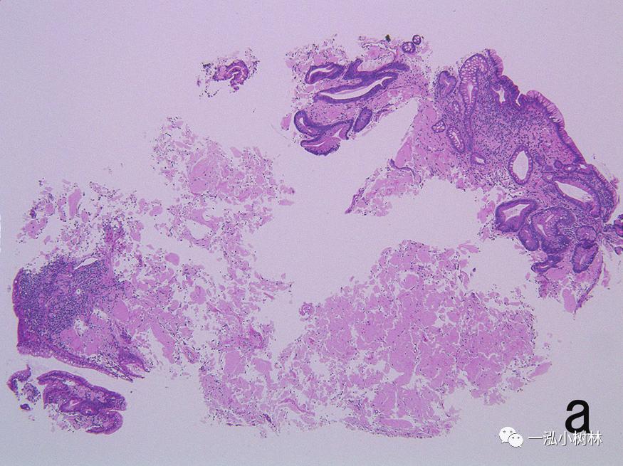
病理组织检查(图4):胃活检标本:弱嗜酸性的均质无结构物质的沉积。该物质通过DFS染色,在之后的高锰酸处理中保持染色性,怀疑为AL型淀粉样变性,但在之后的免疫染色中为转位蛋白阳性,认为SSA的可能性很高。在食管、十二指肠的活检标本中没有发现淀粉样蛋白的沉积。

图4a 胃活检标本病理组织像 黏膜下层为中心的淀粉样蛋白的沉积(HEx40)。

图4b 胃活检标本病理组织像 (DFS 染色× 40 )

图4c 胃活检标本病理组织像(TTR×40),淀粉样蛋白在TTR的免疫染色中显示阳性。
住院后行中心静脉营养。全身态势慢慢改善,从住院第19日行流食,没有黑便和贫血的恶化,第49日病情好转出院。
讨论
以胃为首的消化道淀粉样变性中,沉积的淀粉样前体蛋白的种类和内镜视察结果有相关性。在AA型淀粉样变性中,淀粉样蛋白沉积在以黏膜固有层为中心的黏膜浅层,一般认为,显现糜烂和溃疡等黏膜表面变化的情况很多。AL型淀粉样变性中,淀粉样蛋白在黏膜下层和固有肌层的比较深层堆积成块状,在内镜视察中,很多情况下可以看到黏膜下肿瘤样隆起和皱襞的肥厚。在怀疑为SSA型的胃淀粉样变性中,迄今还没有进行NBI放大视察的报告。在本病例中,进行了包括NBI放大视察在内的详细的内镜视察,在胃黏膜的褪色区域发现了散在的小隆起和血管的扩张、蛇形、密度的降低。来自TTR的淀粉样蛋白容易沉积在黏膜下层的小的血管壁上,具有容易沉着于固有肌层和浆膜下层的特征。在本病例中,在NBI放大视察中发现了白区的不明确化。白区显示了在NBI视察中在白色边缘形成的黏膜构造,一般认为NBI光在腺窝上皮的散射导致。在活检标本中(图4),淀粉样蛋白以胃黏膜下层为中心沉积,因此,在淀粉样蛋白沉积部位,NBI光的散射降低,可以认为白区变得不明确。另外,也发现了黏膜表层的微小血管的扩张、蛇行、密度的降低。在活检标本中,黏膜下层没有包含明显的血管结构,另外,本病例没有对H.p的感染进行检索,但由于患者年龄和淀粉样蛋白沉积不太明显的部分的胃黏膜出现萎缩,因此推测伴有H.p感染的可能性很高。在消化道淀粉样变性病中,为了确认识别沉着的淀粉样变性,有必要进行组织活检。如果考虑淀粉样变性应行NBI放大视察是非常有效的。
知识点备注
1.SSA 老年性全身性淀粉样变性(senile systemic amyloidosis:SSA)是以转位蛋白(transthyretin:TTR)为前体蛋白,淀粉样蛋白沉积在心脏、肺、消化道等全身内脏器官的疾病。
2.AL型 单克隆免疫球蛋白轻链型( AL 型),又称原发性淀粉样变性,主要与克隆性浆细胞异常增殖有关
3.AH型 单克隆免疫球蛋白重链型( AH 型)淀粉样变性
4.AA型 淀粉样蛋白A 型( AA 型),又称继发性淀粉样变性
AL型淀粉样变性的淀粉样蛋白主要沉积于黏膜肌层、黏膜下层和黏膜固有层,内镜下表现为息肉样突起和环状襞增厚;
AA 型淀粉样变性的颗粒样淀粉样蛋白主要沉积于黏膜固有层,内镜下表现为细颗粒样外观,黏膜质脆、糜烂。
AL 型淀粉样变性临床上常表现为便秘、机械性梗阻或慢性假性肠梗阻,而 AA 型淀粉样变性则表现为腹泻、吸收不良。

白光内镜:细颗粒样外观,黏膜质脆、糜烂(H-260Z)

ME-NBI:腺管不规则、白区不明确化,微血管扩张、蛇形、大小不一(H-260Z)
