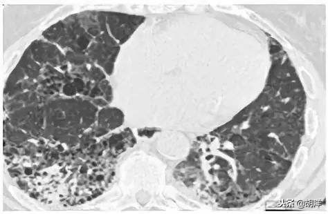
间质性肺病是一大类少见的慢性肺部疾病,随着人们平时接触到的化学物品,空气污染颗粒物等有损肺部健康的机会增多,间质性肺病发病率不断升高,现在网上有众多的文章将该病渲染成一种只能活两到三年的疾病,难免有以偏概全之嫌,下面来一起认识一下这个疾病。

间质性肺病包括很多疾病,有一些是原因明确的,有一些是原因还不清楚的疾病,前者包括职业环境因素,药物副反应,风湿免疫性疾病所致,独立的疾病病种比如结节病等等,后者包括一类原因不明的疾病,包括特发性间质性肺炎,特发性间质性肺炎中有一种疾病叫做特发性肺纤维化,这种肺纤维化性疾病在过去认为生存时间大概为诊断后2-3年,被很多人称为不是肺癌的肺癌,但事实上这个疾病也分不同的病人群的,有的患者确实在诊断后不断加重,肺功能会在两三年内降落至衰竭,还有一部分肺功能逐渐降落,生存时间长一些,还有一部分人如果保养得好,可以获得正常人差不多的生存时间。这个疾病的主要症状为咳嗽,干咳为主,逐渐出现气喘,并进行性加重。目前来说只有两种药物有效,一个是吡非尼酮一个是尼达尼布,但也只能减慢肺功能降落的速度,不能逆转病情。

另外一大群间质性肺病为风湿免疫性疾病引起的间质性肺病,风湿免疫性疾病是一大类自身免疫系统侵犯自身组织引起的疾病,包括风湿性关节炎,系统性硬化症,系统性红斑狼疮,肌炎皮肌炎以及干燥综合症等,这些疾病通常会引起一系列肺部以外的症状,包括关节炎,皮疹,手指头皲裂,嘴巴干及眼干等症状,肺也是自身免疫性系统失去控制后常侵犯的器官,典型的改变就是间质性肺病,在胸部CT上的表现和特发性间质性肺炎类似,但治疗上有一定的不同,风湿免疫性疾病所致的间质性肺病除了可以使用激素治疗之外,还可以加用免疫抑制药物治疗,通常效果可,大部分可以长期生存。

其他的间质性肺病虽然治疗起来也比较棘手,但很多病种都可以在系统治疗下获得比较长的生存时间,基本上不会像网上所说的那样是绝症,但检查出来间质性肺病也不可掉以轻心,不关注保养,反复的感染会加重病情,加快病程发展。