
本文为中国科学技术出版社授权医脉通使用,未经授权请勿转载。

急性胆源性胰腺炎的发病机制
急性胆源性胰腺炎(acute biliary pancreatitis,ABP)是由胆总管结石导致胰管梗阻所引起的胰腺炎。
一旦胆总管结石嵌顿于胆管远端或胆胰管共同通道,胰管流出道将直接受阻或因胰胆管隔膜的压迫而受阻。据先前报道,26% - 72% 的ABP患者在发病早期进行手术时便发现了胆管结石嵌顿[1]。
在ABP 患者中,高达50%的患者会发生胆管结石自发性进入十二指肠[2,3]。
Oddi 括约肌痉挛可能是ABP的另一病因。因此,在诊断急性胰腺炎时,确定胆源性胰腺炎的原因并不容易。
胆源性胰腺炎和酒精性胰腺炎是急性胰腺炎的主要病因。
ABP占急性胰腺炎患者的20% - 71.4%,但在不同地区的发病率各有差异。在希腊、意大利、英国、瑞典和美国,胆源性胰腺炎比酒精性胰腺炎更为常见,而在匈牙利、法国、韩国、日本等国家,以及中国台湾地区,酒精性胰腺炎则是最主要的病因[4-9]。
诊断
除血清胰酶(如淀粉酶和脂肪酶)外,肝胆酶及胆红素水平升高也可提示ABP。在这种情况下,强烈推荐依据影像学检查结果做出诊断。尽管腹部超声是最便捷的检查方式,但由于胃肠道内气体停留,肝外胆管常难以显示清晰,尤其是在急性胰腺炎患者中。
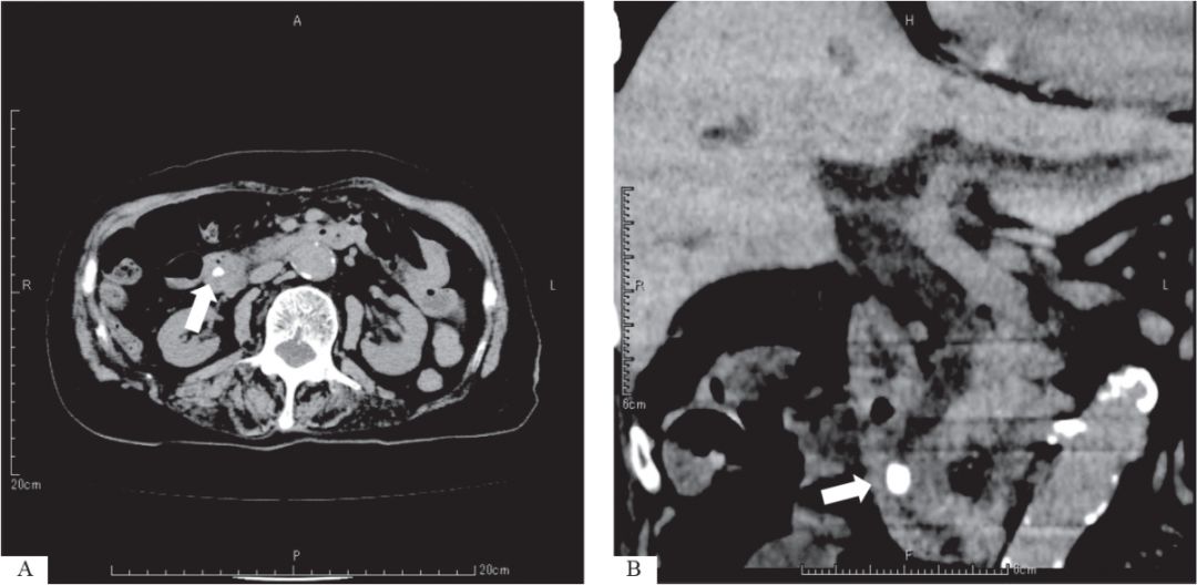
腹部CT 在检测钙化结石时相对方便且具有高灵敏度(图33-1),但其检测无钙化的小结石时灵敏度有限。

图33-1:CT图像显示十二指肠乳头处嵌顿结石A. 轴向CT;B. 多层螺旋CT。白色箭示一处嵌顿结石
ERCP可应用于高度可疑胆管扩张和(或)胆管炎的患者。MRI或EUS具有安全、方便的特点,使得它们可在ERCP 前进行。
此外,MRCP 可提供类似于ERCP 的影像学结果,MRCP 在检测胆总管结石中具有较高的灵敏度和特异性(90% 以上)[10],但在胆管扩张及小结石中其灵敏度降低[11]。
EUS是诊断胆管结石最可靠的影像学检查方法[12],与ERCP 相比,EUS 的并发症更少,同时对小结石的诊断敏感性更高[13]。
内镜治疗的适应证
针对有影像学证据,以及根据临床症状或实验室检验结果高度可疑胆管结石的患者,可采用内镜治疗。此外,即使尚不能确定胆管结石的存在,但患者持续或反复的胆胰酶学水平升高也属内镜治疗的适应证。在这种情况下,Oddi 括约肌功能障碍可能是胆源性胰腺炎的病因之一。
内镜治疗的时机将在后文讨论,但当合并严重胆管炎和(或)持续性胆道梗阻时,应考虑急诊ERCP。针对临床症状较轻及实验室检验结果轻度异常的患者,可先尝试保守治疗,包括禁食、补液及应用抗生素。
先前的研究表明,EUS有助于改善患者病情。研究显示,由于EUS的应用使71.2% - 75.4% 的患者避免了不必要的ERCP,且未增加相关不良事件的风险[13-16]。
技术
胆源性胰腺炎的最佳治疗方法是取出胆管结石。内镜括约肌切开术通常可取出结石。
ERCP 最初的目的是诊断胆管结石,然后通过胆管造影发现结石后使用括约肌切开器行内镜乳头括约肌切开术。而后,使用取石篮或气囊进行内镜下取石。
如果结石嵌顿于乳头处,使用针刀进行乳头预切开术更优于传统的内镜括约肌切开术,因在此种情况下,胆道内置管常难度较大(图33-2)。

图33-2 内镜下见结石嵌顿于十二指肠乳头处
A.胆道嵌顿结石,在这种情况下针刀乳头切开术宜为优选;B. 经胆道针刀切开十二指肠乳头后见白色脓汁流出
内镜乳头括约肌切开取石术是目前公认的高成功率(约90%)的术式[17]。然而,其可能会诱发包括胰腺炎、出血、穿孔和胆管炎在内的手术相关不良事件,发生率约为10%[18]。
胰腺炎患者最担忧的问题是病情加重。因此,胰管内插管和注射造影剂应尽可能避免;尽管无证据表明偶然的胰管内插管会恶化患者的临床治疗过程。
近年来,内镜乳头括约肌切开术后行胰管支架置入术治疗ABP 的疗效得到广泛认可。在一项非随机研究发现,胰管支架组患者的术后并发症发生率低于无胰管支架组患者(9.86% vs 31.43%,P < 0.002)[19]。
然而,到目前为止,在ABP患者治疗中无明确证据推荐内镜治疗后行胰管支架置入术。
内镜干预的时机和疗效
内镜治疗ABP 首次报道于1981 年[20, 21]。此后,许多前瞻性RCT 将早期内镜治疗与保守治疗ABP 进行对比。然而,内镜干预ABP 的作用和时机尚存争议,诸多临床试验和荟萃分析提供的证据相矛盾。
两个早期RCT 发现,与保守治疗组的患者相比,急诊ERCP 组患者的并发症发生率较低,住院时间较短,死亡率更低[22, 23]。
但另一项RCT 显示两组患者的总体并发症发生率相近,且早期ERCP 的患者更有可能发生严重并发症[24]。
1999 年发表的第一项荟萃分析显示ERCP 具有很高的成功率(92%),同时认为在治疗ABP 患者中早期行ERCP 可显著降低并发症发生率( 25.0% vs 38.2%,P < 0.001)及死亡率 (5.2% vs 9.1%,P < 0.05) [25]。
然而,随后的研究认为早期内镜干预有助于进一步控制患者病情。
一些研究得出结论,急诊内镜干预应仅考虑在严重胆源性胰腺炎的患者中进行[26-28]。
Ayub 等的荟萃分析显示[27],早期内镜干预可显著降低重症胆源性胰腺炎的并发症发生率(OR 0.27,95% CI 0.14 - 0.53),但并没有明显降低轻症或重症胰腺炎患者的死亡率。
随后,Moretti 等[28] 进行的荟萃分析同样发现,急诊内镜干预针对并发症发生率有重要意义,且仅针对诊断为重症胰腺炎的患者。
与此同时,其他一些研究表明,急诊内镜干预仅可使胆管炎患者或胆汁淤积症患者获益[29-34]。
Petrov等 [29] 回顾总结了关于无急性胆管炎的ABP 患者早期内镜介入与保守治疗疗效的RCT。结果发现,针对诊断为轻症和重症胆源性胰腺炎的患者行早期内镜干预没有显著降低总体并发症发生率及死亡率。
随后, van Santvoort 等[35] 对诊断为无胆管炎的重症ABP 患者进行前瞻性多中心临床研究,他们分别对有无胆汁淤积的患者进行了临床分析。
结果发现,在胆汁淤积的患者中,内镜干预治疗相较于保守治疗的并发症较少(25% vs 54%,P = 0.020),但针对无胆汁淤积的患者,并发症并无减少(45% vs 41%,P = 0.814)。
Tse 和Yuan 的Cochrane 系统评价显示[32],没有证据发现早期常规行ERCP 可对胰腺炎患者的死亡率或局部/ 系统性并发症造成影响,而不论预测的严重程度如何。
然而,在对胆管炎患者的试验中发现,早期常规行ERCP 治疗显著降低了死亡率、局部及全身并发症的发生率。
此外,在对胆道梗阻患者的研究中也发现,早期常规ERCP 治疗可降低局部和全身并发症的发生率。
最终,他们得出结论针对合并胆管炎或胆道梗阻的患者应考虑早期行ERCP治疗。
在对最新的8项荟萃分析和12项指南系统回顾分析中发现[36],合并胆管炎和(或)持续性胆汁淤积症的患者进行早期内镜介入治疗是可行的,且已达成共识。
除第一个荟萃分析外,目前无研究证实对轻型ABP 患者早期行ERCP 治疗的可行性。对疑为重型ABP 患者,早期是否常规内镜干预缺乏共识。
内镜治疗后的胆囊切除术
当未提供明确治疗时,ABP 的复发率高达61%[37, 38]。
因此,尽管25% - 50% 的患者由于各种原因没有接受胆囊切除术[41, 43],但仍建议在内镜治疗胆管结石后应行胆囊切除术以防止ABP 复发[39, 40]。
而目前针对重型ABP 患者的共识是将胆囊切除术推迟至局部或全身并发症的好转后再进行[38-40, 44]。
参考文献略。
